据福布斯新闻报道,世界排名第17位的美籍华裔大胃王李蕙过世了,享年54岁。
李蕙身高只有152.4厘米,体重45公斤,虽然非常瘦小,却曾在大胃王比赛中赢过体型是她三倍的人。相关的比赛组织者表示,李蕙的去世和大胃王的竞赛没有关系。
大胃王这个称谓,最近几年在国内还是挺被人所熟知的,主要原因可能跟直播、短视频这两种信息传递形式的火爆有关。
今天就跟大家讲讲,为什么他们能吃这么多?会导致什么样的后果?

图 | Pexels
为什么能吃这么多?
▎ 瘦小也能当大胃王?
并不是身材大,胃内容量就一定大。
很多人可能也注意到了,不少“大胃王”虽然看上去瘦瘦的,却能够容纳很多食物。
其实除了体型外,如果内脏脂肪比较少,器官健康、弹性好,体内可以容纳的食物也就能多一些。
▎ 胃还能缩回去吗?
胃属于空腔器官,本身就有伸缩性。空腹进食之前的胃就好像一个没有充过气的气球,只有50毫升左右,而一般成年人的胃容量可以达到1500毫升。

图 | Pixabay
如果你能够每天吃很多的东西,不断地撑起这个“气球”,排空后体积也会逐渐变大。
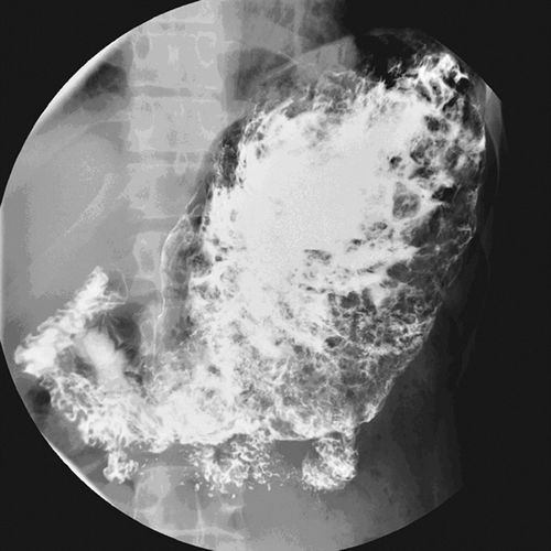
2007年,宾夕法尼亚大学医学院的学者在《美国放射学杂志》上发表了一项研究,去观察那些大胃王比赛冠军以及相关职业选手的胃,在进食后会有怎样的变化。
结果发现这些人群在吃了很多的热狗的情况之下,没有出现急性胃穿孔等大家想象中最危险的场景。在实验过程中,这些大胃王吃了很多的热狗后,胃内并不会快速蠕动,而是逐渐形成一个非常松弛的囊,随后容纳越来越多的食物。


图 | 参考文献
▎ 只靠天赋异禀?
论文中还写到,之所以能有这种状态,大部分人是需要通过强大的意志力和自律来训练的,因为需要克服很多人体的自然的反应,比如正常人在吃到非常多食物时会感到恶心,而职业选手们可以通过训练克服。
曾经日本媒体也报道过,世界级的大胃王小林尊,平时除了坚持运动以外,还通过大量饮水,吃很多的卷心菜之类的低热量、高纤维食物,来让胃壁扩张。
著名的大胃王木下,她曾经在吃完100个寿司后在综艺节目中做了CT,结果显示她的胃真的可以容纳很多食物,但是可能会压迫胸腔和腹腔的其他器官。

图 | Pexels
当大胃王有什么风险?
▎ 窒息而亡
大胃王比赛的历史比较悠久,迄今已有100年的历史了,1916年纽约就举办过,像是加拿大、英国、日本、德国也都有这样的比赛。
其中的冠军能在十分钟出头的时间里吃掉50个热狗。
然而这就会带来一个很明显的风险 —— 窒息。
比如就在前两年,美国曾经在同一天之内发生过两起因为参加大胃王比赛而死亡的案例。一位20多岁、一位40多岁,都挺年轻的,一个人吃的是煎饼,另外一个人吃的是甜甜圈。
另外如果一次喝太多水,可能会出现水中毒(低钠血症),暴饮暴食也有可能导致胃穿孔。

图 | Unsplash
▎ 胃部失代偿
另外就像前面所提到的,因为参赛者需要抑制自己呕吐的倾向,同时减少胃的蠕动,长此以往会出现胃轻瘫(恶心、呕吐、腹部不适、腹胀,胃扩张、胃蠕动减慢和排空延迟)。
特别是人到中年,由于容易感觉不到满足,更容易暴饮暴食,出现“胃被撑大了“、肥胖等情况。
同时,非常松弛的胃由于失去代偿的机制,难以恢复到原先的大小,难以排空食物,从而容易出现恶心呕吐的症状,难以治愈,只能采取部分切除等方法来改善。

图 | Pixabay
▎慢性损伤
吃太多的食物会增加身体的负担,长期这样可能会出现体重增加,胆固醇水平升高,血压升高等情况。
考虑到胰腺要分泌更多的消化液,一次吃太多油腻的食物,还可能诱发急性胰腺炎等消化系统问题。
一系列摧残过后最终可能导致消化吸收能力下降,从而出现营养不良、贫血。另外食物体积太大可能导致贲门括约肌松弛,胃酸反流,出现反流性食管炎。
事实上很多大胃王倒不会给代谢系统带来很大的负担,因为会通过催吐来排出这些食物,但这样对于咽喉部也会带来很大的伤害,常常出现声音沙哑等症状。
总之,这几乎可以看做是自残行为了,风险还是挺大的。
你想当大胃王吗?
所以,大胃王其实并不值得大家羡慕,能健健康康、有所克制地品尝各种美味,才是持久享受生活的方法!
参考来源:
Levine M S , Spencer G , Alavi A , et al. Competitive speed eating: truth and consequences.[J]. Ajr American Journal of Roentgenology, 2007, 189(3):681.


0人参与0评论